рус укр
Головна \ Естетична стоматологія
Естетична стоматологія у Запоріжжі

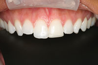
 Естетична стоматологія - це один з найбільш складних розділів стоматології, що вимагають творчого підходу. В естетичній стоматології виділяють три пов'язані між собою поняття: реставрація зубів, реконструкція та трансформація. Методики естетичної стоматології мають у своєму розпорядженні безліч засобів, які здатні зробити вашу посмішку сліпучою. Естетична стоматологія ґрунтується на відтворенні зубного ряду природної форми, а також властивостей зубів: прозорості, блиску та структури зубів. Естетична стоматологія, насамперед, - це художня реставрація зубів, після якої ви отримуєте гарну усмішку без застосування протезування.

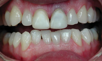
До Після

 Кожен випадок художньої реставрації зубів є індивідуальним. Перед фахівцями клініки поставлено завдання відновлення особливостей пошкодженого зуба. Кваліфікація та талант лікарів «Діадент» дозволяють виконувати реставрацію зубів на найвищому рівні. Крім того, реставрація зубів – це особлива технологія, де застосовуються спеціальні матеріали: композити та компомери. Композити вже давно широко використовуються для реставрації зубів і можуть слугувати 10-15 років. Компомери мають гарні естетичні властивості та застосовуються для реставрації зубів порівняно недавно.

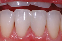
До Після

 Широка палітра кольорів сучасних матеріалів для реставрації зубів дозволяє максимально натурально підібрати колір оновленого зуба. Результат реставрації зубів – точна імітація міцної природної емалі. Також під час художньої реставрації зубів фахівці клініки можуть підкоригувати їхні контури, що зробить вашу усмішку привабливішою. Завершальний етап реставрації зубів - шліфування та полірування. Реставрацію зубів можна здійснити за одне відвідування стоматолога. Завдяки такому сучасному способу відновлення зубів, в основі якого лежить майстерність та талант лікаря, можна швидко повернути собі сліпучу усмішку.

На сьогоднішній день ми надаємо повний комплекс послуг з естетичної стоматології для краси та здоров'я ваших зубів:

  • вирівнювання зубів, зміна їх форми,
  • усунення сколів або розворотів зубів,
  • видалення потемнілих старих пломб,
  • усунення занадто великих або вузьких проміжків між зубами,
  • професійне відбілювання.
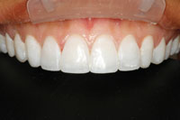
До Після

Найновіші методики естетичної стоматології, що застосовуються в нашій клініці, легко та швидко повернуть вашим зубам ідеальний колір та форму! Після реставрації зубів ви можете похвалитися рівним зубним рядом і білою посмішкою.

Косметична стоматологія

На сьогоднішній день сучасна косметична стоматологія має у своєму розпорядженні великий набір методів і засобів, що дозволяють досягти прекрасного ефекту при найрізноманітніших дефектах зубів. Висококваліфіковані лікарі стоматологічної клініки «Діадент» допоможуть вирішити будь-які проблеми із зовнішнім виглядом ваших зубів.

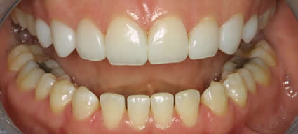
До  Після 
 
Наш адрес: г. Запорожье, ул. Чаривная, 107
Телефоны: +38(061)707-46-76, +38(050)482-71-62, +38(066)189-80-05, +38(067)121-20-88
График работы: Пн. - Пт. 9.00 - 18.00 Суб. - 9.00 - 15.00 Воскр. - выходной
Закрыть
Пред. След.